案例
Case
-
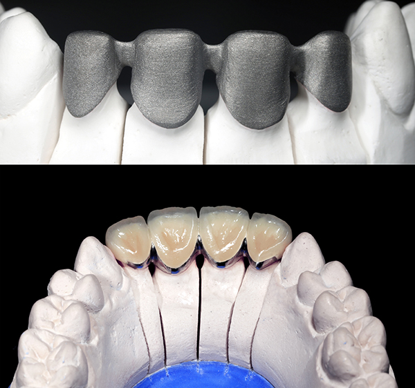
3D打印义齿制造
- 产品尺寸多种尺寸
- 最高精度0.1mm
- 生产工艺SLM激光粉末烧结
- 使用材质钛合金 FS CoCr
案例详情
Case details
3D打印技术的本质特征决定了其可以快速、高效、准确地再现三维计算的模型。从医疗行业的特性来看,3D打印与医疗行业“天然匹配”——针对没有完全一致的人体结构和手术方案,3D打印技术在医用模型、外科手术、器官植入、烤瓷牙等领域有着广泛的应用。
3D打印牙齿最大的特点是精准!传统义齿制造通常采用手工蜡型加包埋铸造的制造工艺,完全是手工操作,存在品质难控和远期安全隐患等问题。而3D打印无需反复制模,打印出来的误差极小,种植、修复牙齿后的上下颌咬合度非常吻合,不会出现咀嚼使不上劲,更不会出现金属铸造带来的各种气泡沙眼问题,让传统制作方式带来居高不下的内部返工率大大降低。由于3D打印牙齿精密度高,所以医生安装也更容易。病人在安装3D打印牙齿后可获得更高的生物相溶性、密合性,金属离子的析出会大大减少,出现并发症的机率也大大降低。
重庆靖佳齿科是一家集科研、生产、销售、培训于一体的现代化义齿高科技企业,至今已有10年以上的义齿生产经验,为了给牙医提供高效优质的口腔修复方案,靖佳齿科经过多方对比,引进了与合作采用3D打印技术,实现向数字化口腔医学的转型升级。
3D打印实现义齿精确定制
作为专业义齿加工厂不光是要壮大自己的实力,扩大品牌影响力,更要紧跟行业发展趋势、市场需求,更好地服务于市场。现在,越来越多的中高端义齿制造企业进入3D打印领域,通过建立了数码车间,不断引进先进技术、系统、设备等,他们意识到,在新技术日新月异的当下,要获得生存与发展,必须加速数字化转型。部分企业已积累了丰富的CAD/CAM加工技术经验,在数字化产品的技术、服务、人才培训方面奠定了厚实的基础。目前重庆医科大学口腔医院等医疗机构和靖佳齿科等优秀义齿制造企业已与开始了正式合作。
四大改变实现"美"与"质"共同提升
数字化不仅仅是理念,更是改革传统口腔医疗种种弊端的利器。结合了3D打印的数字化口腔技术让牙科行业迎来了数字化口腔医疗新纪元,已经且正在快速地在改变着口腔医学的传统模式。
总结起来,义齿制造中,采用3D打印技术主要带来了四大改变:
提升工作效率。华曙高科金属3D打印设备FS121M-D拥有150颗/6小时的打印速度,每天可安排两个批次的打印,轻松安排生产流程和进度,并能保证长时间开机率。
降低制造成本。传统手工技术制造义齿金属内冠需经过印模、蜡型、铸道安装、包埋、失蜡等20多道工序,自从采用3D打印技术,减少了多道手工工序和传统辅材需要,降低了制造成本。
加强产品质量。华曙高科FS121M-D打印设备,其打印的钴铬合金义齿各项指标均属优异,其拉伸强度达1193Mpa,致密度接近100%,轻松实现义齿产品"美"与"质"的共同提升。同时,3D打印做出来的牙齿在车金环节具有比较鲜明独特的优势。
增进品牌知名度。数字化的加工方式极大提升了传统义齿加工企业的市场竞争力,其以设计、扫描、切削加工或激光熔铸的新技术,用软件,自动化加工设备替代了大量手工劳动,生产出更加精致和注重质感的产品,提升了品牌价值,增进了企业品牌知名度。
传统义齿加工业向数字化转型的缩影,是口腔行业发展的必然趋势。作为工业级3D打印应用服务类精英型企业,将秉承"智造引领,创新驱动"的发展理念,以雄厚的技术实力为依托,积极推动3D打印技术在牙科行业的应用,提供性价比最优的数字化整体解决方案,助力牙科行业迈入数字化口腔医疗新纪元,为广大群众实实在在带来福利!









渝公网安备50010502504042